Before & After

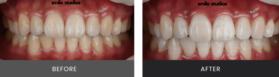
 Smile X _ Improved shape, color, and tooth spac
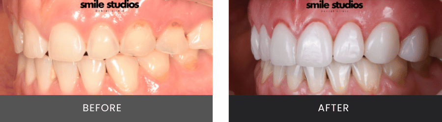
Smile Privรฉ _ Shape, Color Improvement

Tailored Veneers Treatments Designed for You

Teeth Whitening

VIEW MORE

Veneers

VIEW MORE

Gum Contouring

VIEW MORE

Smile Makeover

VIEW MORE